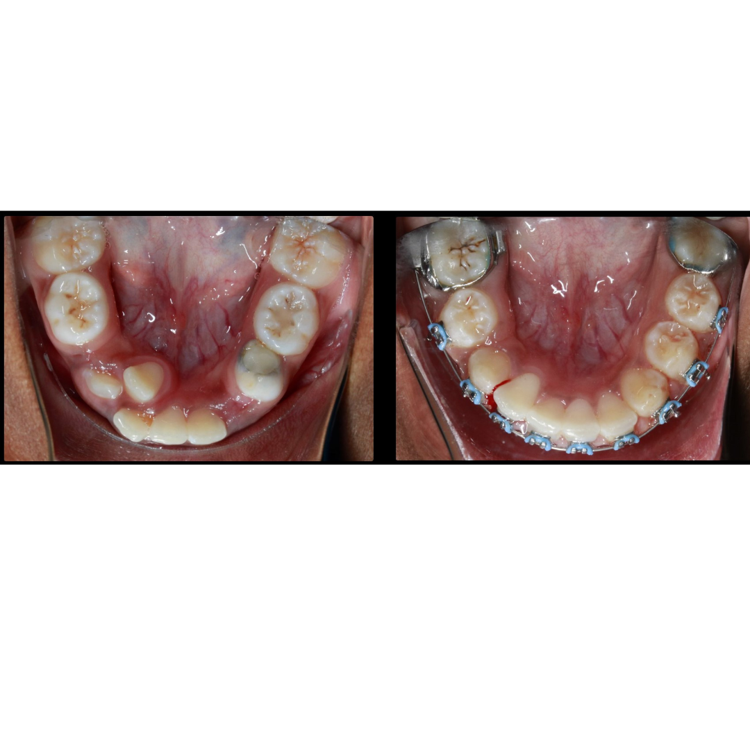
Gallery
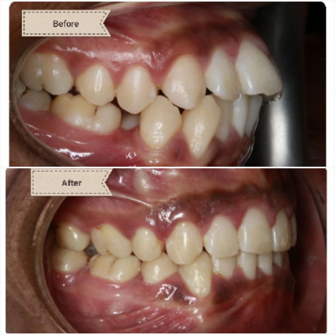
Before And After
Happy Clients
Visit Us